What is it?
The triscaphoid joint (also known as the STT joint) is located within the wrist joint, and involves the Scaphoid, Trapezium and Trapezoid bones. This joint is important because it provides a strong and stable link between the two rows of bones in the wrist, and transmits force from the thumb across the wrist joint. Arthritis in this joint is relatively uncommon compared to arthritis at the base of the thumb, but affects around 8% of women over the age of 50. The majority of patients with triscaphoid osteoarthritis also have base of thumb arthritis.

What are the symptoms?
Pain in the most common symptom. The pain is usually located on the palm and thumb side of the wrist. Pain is worse on activity using the hand, and generally relieved by rest. This type of arthritis is commonly associated with arthritis at the thumb base, and pain may be evident from the thumb base joint too.
Swelling may be seen in the area of the joint. Sometimes a small fluid filled lump (a ganglion) appears over the joint.
Tenderness over the joint is also common.
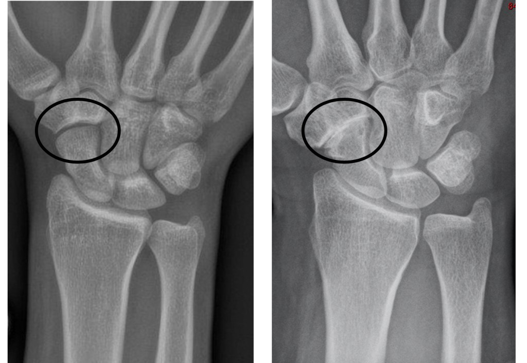
How is it diagnosed?
The diagnosis of triscaphoid arthritis is made from the symptoms and signs, and is confirmed on an xray of the wrist. The gap seen on X-rays between bones is not a real gap – it is filled with smooth cartilage (the lining of the joint) in order to allow smooth movement. In arthritis, the cartilage is lost, and therefore the gap between the bones appears diminished.

What is the Natural History?
Many people have no symptoms at all from triscaphoid osteoarthritis, and have the diagnosis made on an X-ray taken for a completely different problem.
The natural history of pain from this condition is often that the pain ‘burns out’ with time. This can take anything from a few months to many years. In a minority of patients, pain does not settle, and the arthritis causes damage to the wrist joint which then in turn produces more pain.
Pain is the body’s defence mechanism to alert the brain to the possibility of harm. Pain is usually a protective mechanism and helps people avoid burns and cuts, or alerts to something which has ‘gone wrong‘ in the body. Pain from osteoarthritis can, therefore, make people worry about their hands – and this worry usually has two forms:
1) If the pain is as bad as this now, then what will it be like in a year or two?
Generally speaking, pain burns out with time, and the chances of symptoms being much worse in a year or two are small. There is no good correlation between the degree of arthritis and the amount of pain people feel, but even the reassurance that the pain is likely to burn out makes it easier to cope with.
2) If using my wrist causes pain, is it doing me harm?
Actually, there is no harm in using the wrist normally. Normal use of the wrist does not cause the condition to worsen – ageing and genetics are responsible for the rate of deterioration.
How can it be treated?
It is important to note that treatment is not necessary for the arthritis itself, but may help with pain control. Secondly, all interventions given by a doctor, nurse or physiotherapist carry a small risk, and although this is rarely a major problem.
Options for pain relief include:
Modification of activity – small changes to the way you do things will avoid pain in the thumb base – you will already have worked this out! It is not worth avoiding painful activity altogether, since using the hand in the presence of pain does not harm the thumb in any way. See occupational therapy page for information on aids.
Splints – Rigid splints (metal or plastic) are effective but make thumb use difficult. A flexible neoprene rubber support is more practical, and there are some rigid splints on the market which allow normal wrist movement and may make it easier to work whilst wearing the splint.
Physiotherapy – working to maintain movement can delay the onset of stiffness. See physiotherapy page for advice.
Simple painkillers – Although painkillers can be useful from time to time, the routine use of painkillers is not recommended. All painkillers carry a risk from the side effects, and although some painkillers such as ibuprofen can be effective for this type of pain, regular use can give rise to complications such as a stomach ulcer or cardiac problems. Stronger painkillers can be addictive and are not recommended.
Steroid Injection – Steroid injections can provide pain relief for a single troublesome joint, by reducing the inflammation in the joint. These injections carry a risk and do not usually provide anything other than short term pain relief. See having a steroid injection
Surgery – Surgery is a last resort, as the symptoms often stabilise over the long term and can be controlled by the non-surgical treatments above.
- Trapeziectomy: Removal of the trapezium is the most commonly performed operation. It is usually combined with removing a few mm of the trapezoid at the same time. This has a good track record for relieving pain, however the thumb is considerably weaker and less stable following this operation. In addition, this operation can, in some cases, lead to rapid deterioration in arthritis affecting the wrist joint itself, so the decision to operate involves weighing up whether the pain relief obtained is worth the sacrifice of function and risk.
- Excision of the distal pole of the scaphoid: Taking out a portion of the scaphoid bone removes the arthritic joint. Although this operation has reasonable results in the literature, if there is concurrent arthritis at the base of the thumb, this is not addressed by this operation. Therefore it is not normally recommended in Aberdeen.
You can read more about having an operation on your hand here.

© Aberdeen Hand Service 2021