What is a malunion?
Malunion is the name used when a bone has healed in a position that is different to the normal position of the bone. This is one of the ‘classical‘ complications of a fracture of the distal radius, and is extremely common, affecting around 30% of people who have this injury. A malunion of the distal radius will make the wrist look a different shape to the other wrist.
Why has a malunion developed?
When a fracture of the radius is displaced, or has moved in position as a result of the break, it can be classed as either STABLE or UNSTABLE. In younger patients with unstable fractures, the outcome is usually better if the fracture is stabilised in the normal position for the bone. This is done with either a plaster cast or with an operation.
Even where the initial reduction and position of the fracture is excellent, some of these injuries become malunions. This is one of the risks of both plaster treatment and surgical fixation of the wrist, and this is what makes the decisions about how to treat these injuries so difficult.

All patients who develop a malunion tend to think that if they had been treated in a different way and so this would not have happened. Obviously, if there was an simple way of predicting which patients would develop a malunion, then surgeons would take this into consideration when initially advising patients on which method is best. This is easy if the initial fracture is very displaced or broken into many pieces, but can be very unpredictable, and some fractures that initially look very straightforward end up giving the most problems.
What happens after a malunion?
The natural history of a malunion seldom leads to major impairment of function. Doctors use published evidence to guide on outcomes following injury, and most published research papers show that despite the malunion, function is not much different between patients with a malunion and patients who have healed in a perfect position by 1 year. Unfortunately, this is not the case for all patients, and a proportion of patients continue to report pain around the wrist joint, worse on rotating the wrist.
Most patients have expectations regarding the outcome of a wrist fracture which are based on many different experiences and influences. If a friend or relative had a similar injury and made a quick and straightforward recovery, or if they have seen someone else struggle to overcome pain following a similar injury, this tends to act as a reference point for people.
People may be disappointed by the appearance of their wrist following a malunion, because it looks so different to the other side. As well as looking different, the wrist is usually a slightly different colour, with some swelling, but these two findings are normal after any wrist fracture.
Following treatment for a fracture of the distal radius, all patients usually have to overcome some residual pain, swelling and stiffness in the wrist. Additional disappointment in the appearance of the wrist can focus people psychologically to avoid using the hand and wrist normally. Although swelling around the wrist continues to diminish over the months following a fracture, the basic shape of the wrist will remain the same as the position it has healed in – it never returns to normal. People tend to associate a different shape of the wrist with a poor outcome, but the shape of the wrist does not usually play a major part in any symptoms of functional loss, which is more likely to be a problem with the position of the joint between the two forearm bones at the wrist.
We know that fractures of the distal radius generally take around a year for people to reach maximum recovery of function, and even then, studies show that there is further improvement up to around 3 years after injury. The best advice if a malunion occurs, therefore, is to allow time for the bone and soft tissues to heal fully.
Is it safe to use the wrist when there is a malunion?
Malunion is very common, and since the bone has healed, it is safe to use the wrist and hand normally as soon as possible. Even if there is residual pain in the wrist, getting back normal use is very important to build up the strength of the bones and ligaments, which tend to weaken considerable when they are not used normally.
What treatment is available for a malunion?
Like any condition, there is a spectrum of severity, ranging from very mild to very severe. Very mild malunions behave much the same as fractures where no malunion has occurred and most patients are unaware that the bone has healed in a slightly different position.
With any significant change in the shape of the wrist following a fracture, the advice will almost always be to give the wrist time to heal, and this is usually up to a year. This is really important: most patients with symptoms from a malunion at 2-3 months following a fracture of the distal radius will find that these symptoms have largely resolved by 1 year.
Surgical management:
Where symptoms persist with a malunion, surgery may be considered to restore a more normal anatomy to the bone. This surgery is straightforward, but all operations carry a risk, and this risk significantly increases with increasing age. You can read more about having an operation here.
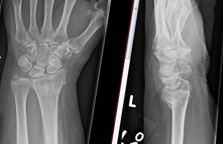
The surgery involves making an incision over the area of the malunion, and using a fine saw, the bone is divided. The bones are then repositioned in a more normal alignment and usually a small plate is used to fix the bone in its new position. On a normal side view xray (lateral view), if you draw a line up the middle of the radius bone, then this line should continue through the middle of the capitate bone. In a malunion, the continuing line does not pass through the middle of the capitate. The aim of surgery is primarily to restore this line.



Unlike an acute fracture, the surrounding soft tissues undergo minimal damage and therefore once the bone has healed, the wrist usually recovers quickly, with return of function within 3-6 months, rather than the slow process seen after a fracture. Often, a bone graft will be needed to fill the gap which appears in the bone when the position is corrected. Bone graft is the name given when a small piece of bone is taken from another area, usually the pelvis where it is not missed much, and put in a new position to supplement the existing bone.
Unfortunately, one of the significant risks of this type of surgery is failure to maintain the new position of the bone – ie recurrent malunion, but most patients report high satisfaction levels 1 year after corrective surgery.

© Aberdeen Hand Service 2021