What is Kienbock’s disease?
Kienbock’s disease of the lunate is a condition in which the normal blood supply to the lunate bone shuts off, and the bone is left without a blood supply. This causes the bone cells to die, and once enough bone cells have died, the structure of the bone starts to break down. The condition was first described in 1910, shortly after the development of X-rays, and it is named after the radiologist who described the condition, Robert Keinbock.
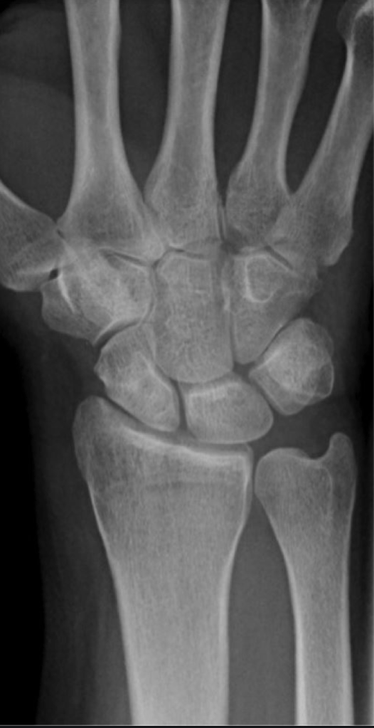
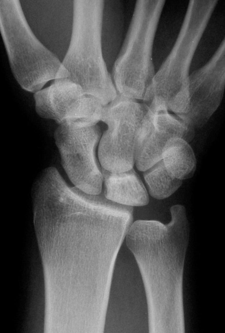
Where is the lunate bone?
The lunate bone is one of 8 bones which make up the wrist joint, and is situated right at the centre of the wrist.


Who gets Kienbock’s disease?
The condition is reported to be most common in men aged 20-40 years, but anyone can get it at any age (although it is rare in children). There are associated anatomical conditions which can predispose to developing Kienbock’s disease:
Biomechanics of the wrist – In patients with Kienbock’s disease, there is an increased incidence of the radius bone being slightly longer than the ulna at the wrist joint, or having an increased slope compared to normal at the wrist joint. These anatomical variants may lead to an increase in the pressure within the lunate bone and thus predispose to cutting off the blood supply.


Blood supply to the lunate – In most patients, the lunate has a blood supply coming in from both sides of the wrist. Anatomical studies show that in some people, there is a blood supply only from one side of the wrist, and this single blood supply may be vulnerable in some situations, such as trauma to the wrist. Less than 10% of people have the single blood vessel supply to the wrist, but Kienbock’s disease affects only 1 in around 15000 people, and many of these are asymptomatic.


What are the symptoms of Kienbock’s disease?
Pain in the wrist is the main symptom of Kienbock’s disease. This pain is situated over the lunate bone, and is usually dull and constant in nature. The pain can increase on use of the wrist and is generally better but not completely resolved with rest. As the condition progresses, the pain often increases, but in many people the condition is relatively static, and symptoms not too intrusive.
What is the natural history of Kienbock’s disease?
It is actually difficult to determine what will be the natural history of Kienbock’s disease in patients who first present. The condition is sometimes diagnosed very early on, before any xray changes are seen. In other patients the condition presents when the lunate bone fractures or breaks because of bone death.
Kienbock’s disease can be classified according to the changes seen on xrays and scans, and we try to classify the condition in all patients, so that we can give an idea of what is likely to happen. If, for example, a patient presents with stage 2 Kienbock’s, but 6 months later has progressed to stage 3, then we assume that the disease process is active. If no progression of the condition is seen on serial xrays, then we can say that the disease process is static.




Although Kienbock’s disease represents a loss of the blood supply to the lunate, the body has an incredible capacity to heal, and in some cases the bone revascularises without much damage. Even in the later stages, the bone can partly revascularise and heal, so that in many patients the disease remains static, with no real progression of pain and sometimes resolution of pain.
At the other end of the spectrum, in some patients the bone seems to collapse and crumble, with the development of osteoarthritis and consequent loss of movement with increased pain.
What treatment is there for Kienbock’s disease?
Over the years, there have been many proposed surgical procedures tried to stop progression of this disease and to try and re-establish a blood supply to the bone. There is, unfortunately, no strong evidence that any of these procedures significantly alter the natural history – surgeons tend to take credit when actually the body’s healing mechanisms have succeeded.
Conservative management: In the early stages of Kienbock’s, usually a period of splinting is recommended, with a non-steroidal anti-inflammatory painkiller if necessary. The wrist is x-rayed or scanned around 6 months later to check for progression. Conservative management is the most commonly used approach to treat Kienbock’s disease in Aberdeen. All operations carry a risk, and when weighed up against the risk of deterioration of the condition, it often makes more sense to simply monitor the condition in the clinic.
Revascularisation: Some surgeons believe that blood flow can be re-established by increasing the overall blood flow to the area – this can be done by passing a fine drill into the radius to stimulate local blood flow. Along the same line, it is possible to drill into the lunate itself and reroute one of the local arteries. This is known as a revascularisation procedure, and it remains fairly controversial.
Denervation of the wrist: The concept behind this operation is that if you take away the nerve supply to the wrist joint, then pain fibres will not transmit signals back to the brain. Although a good idea in principle, the amount of pain relief given by this operation is very variable, and because there is a risk of developing another pain from the cut nerves, the operation can give unwanted side-effects. Overall, however, the risk from a wrist denervation is low, and many patients feel that they have not much to lose with this.
Radial shortening osteotomy: If there is any significant shortening of the ulna, then a ‘joint levelling‘ procedure can be considered, but this carries all the risks of surgery, and should be carefully weighed up. It is only appropriate in a small number of patients with specific anatomical variants.
Proximal Row Carpectomy: This is name given to an operation where the diseased bone is removed along with the bone on either side. The wrist is realigned so that the capitate bone articulates directly with the radius. Although this type of surgery is great for relieving pain, it does sacrifice some movement and strength in order to achieve this pain relief
Fusion Surgery: With later stages of the condition, the treatment options are usually to either live with condition, or to fuse parts or all of the wrist in order to provide pain relief. Some people have quite manageable pain and are happy to stick with the symptoms rather than undergo surgery. With others, the pain is severe, and surgery may be a better option. Surgery, unfortunately, sacrifices normal wrist movement in order to ‘buy’ pain relief, so there is a fairly hefty price to pay. Obviously, any intervention should be discussed with the surgeon and a shared decision made regarding treatment.

© Aberdeen Hand Service 2021